新浪微博
微信互动

方法学起来,HE染色轻松hold住~

最近中洪君很喜欢去实验室那边晃悠,和实验技术员都混成了好朋友,作为HE染色的守护者,平日里忙于实验走路自带风,不过不妨碍他们做HE染色导游之梦,一起跟随他们来看看~   


(请耐心花2分钟阅读完本文,建议推荐给小伙伴一起学)

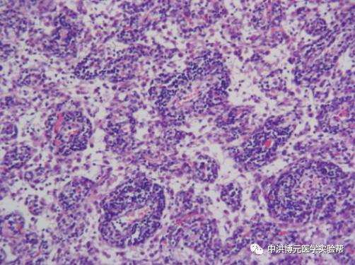
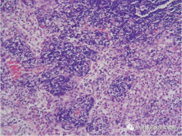
(HE实拍图 合作热线400-969-9065)

1、原理


苏木精-伊红染色法 ( hematoxylin-eosin staining ),简称HE染色。HE染色是组织学、病理学教学与科研中最基础、使用最广泛的技术方法之一。


苏木精染液为碱性,可以将组织的嗜碱性结构(如核糖体、细胞核及细胞质中的核糖核酸等)染成蓝紫色;伊红为酸性染料,可以将组织的嗜酸性结构(如细胞内及细胞间的蛋白质,包括路易体、酒精小体以及细胞质的大部分)染成粉红色,使整个细胞组织的形态清晰可见。组织切片方法是教学、科研、病理检验工作中非常常用的一种试验方法,HE染色则是在制作切片的过程中最常用的染色方法。


2、实验标本


石蜡切片、冰冻切片


3、实验试剂材料


多聚甲醛、酒精、二甲苯、石蜡、苏木精水溶液、酒精伊红染色液、生理盐水、蒸馏水、PBS等实验必备溶剂



4、实验步骤


(1)样本组织固定与切片:首先将组织样本进行常规的石蜡包埋。在模具中加入液态石蜡,将待包埋的组织样本放入石蜡中,确保组织位置规整。补充少许液态的石蜡后,进行降温冷冻,使石蜡变为固态达到组织固定的效果,然后使用石蜡切片机进行切片,厚度在4-8um左右。将切完后的组织切片放入载玻片上使用40℃温水浸泡使组织充分伸展。


(2)组织样本脱蜡:将待测组织样本切片放于二甲苯中,充分浸泡10min,浸泡完后更换二甲苯继续浸泡10min,目的是使用二甲苯将切片中的石蜡溶解,这样可以在进行染液染色的时候,染液可以充分进入组织种,同时,二甲苯还可以起到透明的作用,使切片更容易观察。


(3)组织样本水化:将浸泡过二甲苯的待测组织样本先放入无水乙醇中浸泡5min,使脱蜡时用的二甲苯可以被洗脱出去,使水可以进入组织中;再依次置于95%、85%、70%乙醇中各浸泡5min以达到充分水化的效果。


(4)组织切片苏木素染色、分化与反蓝:将水化后的组织样本的切片使用PBS溶液浸泡清洗,每次浸泡5min,总共清洗3次。之后用移液枪吸取已经预先配制好的苏木素染色液,每个组织切片滴加100ul,充分染色10min。染色完毕后使用蒸馏水洗去多余的苏木素染色液。然后再使用1%的盐酸乙醇进行分化,使细胞核中结合过多的染液和细胞浆中的多余的染液被除去。分化完成后,再用双蒸水将组织切片冲洗干净。为了使苏木素染蓝色,使用弱碱性的促蓝液加入组织切片中,让细胞核染蓝色。反蓝结束后先用清水进行清洗,再用双蒸水将组织切片冲洗干净。


(5)组织切片伊红染色与脱水:向上一步驟的组织样本切片中加入伊红染液,并使组织可以充分染色3min,染色完毕后,再将组织切片进行梯度脱水,分别使用浓度为80%、95%以及无水乙醇进行操作。80%的乙醇脱水5s,95%乙醇脱水2min,无水乙醇脱水2min。


(6)组织样本切片风干封片:将脱水后的组织样本切片使用二甲苯浸泡2次,每次持续4min,然后将组织样本切片干,并使用中性树胶封片。


(7)最后在显微镜下观察并拍照。

上一篇:生物碱的鉴别
下一篇:Giemsa染色方法的标准操作
分享到: